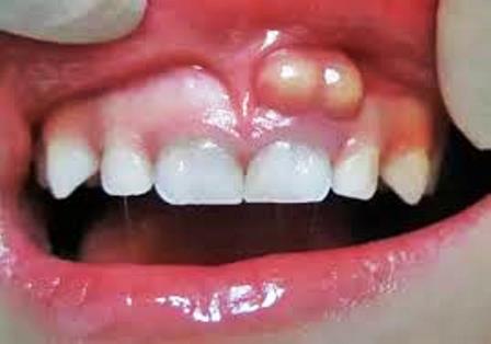
Un abcès dentaire est une infection bactérienne qui engendre l’accumulation de pus au niveau de la dent et éventuellement de la gencive. Non traité, il peut occasionner une infection au niveau du cerveau, du cœur, des poumons, des reins, de la peau.
L’abcès engendre une vive douleur accompagnée parfois d’autres symptômes comme de la fièvre ou un gonflement. Dans beaucoup de cas, l’abcès est la complication d’une carie non traitée qui progresse jusqu’à la pulpe dentaire.
Diverses autres causes peuvent aussi être à l’origine d’un abcès dentaire.
Il s’agit d’un traumatisme dentaire dû à un choc durant lequel la pulpe de la dent est détruite, d’une maladie au niveau des gencives ou une infection sur une dent de sagesse.
Le symptôme de l’abcès dentaire le plus spécifique est la douleur intense qu’il provoque au niveau de la dent ou de la gencive. La douleur apparaît généralement de façon soudaine et elle peut s’amplifier dans les heures ou jours qui suivent. La douleur peut irradier jusqu’à l’oreille, la mâchoire et au cou.
L’abcès dentaire non soigné peut être à l’origine d’une infection généralisée ou favoriser le développement de maladies cardiovasculaires telles que l’athérosclérose ou l’ischémie. Avec un traitement adapté, la douleur disparaît vite et l’infection régresse pour guérir.
Sans traitement en revanche, l’abcès évolue fatalement vers une « fistulisation », c’est-à-dire la formation d’un canal liant l’abcès à la muqueuse ou la peau pour évacuer le pus. Bien que ce processus atténue les symptômes, l’infection peut provoquer des complications en se propageant à d’autres parties du corps comme les zones proches (la langue, la gorge, les tempes, ou les sinus maxillaires) et certains organes accessibles par les vaisseaux sanguins.
Une infection peut ainsi se déclarer au niveau du cerveau, du cœur, des poumons, des reins, de la peau. Il peut attaquer le système respiratoire en causant une infection broncho-pulmonaire. Le système digestif peut prendre un coup en provoquant une inflammation de l’estomac ou de l’intestin.
Enfin, l’abcès dentaire non soigné peut être à l’origine d’une infection généralisée (septicémie) ou favoriser le développement de maladies cardiovasculaires.
Une consultation en urgence s’impose alors. Un abcès dentaire ne se soigne jamais de lui-même. Il est nécessaire de consulter un chirurgien-dentiste ou un stomatologue pour le faire soigner. Généralement, le praticien procède à l’évacuation du pus ou au « drainage de l’abcès ». Cette intervention consiste tout d’abord à nettoyer les canaux situés dans la racine dentaire contenant la pulpe infectée.
Ensuite, le médecin va mettre en place une pâte à la place de la pulpe qui vient d’être retirée afin de prévenir une nouvelle infection.
Lorsque l’abcès touche la gencive, le praticien doit nettoyer l’espace situé entre la dent et la gencive. Si l’infection est trop sévère, le retrait de la dent peut être nécessaire.
Il est conseillé d’éviter les aliments ou boissons très chauds ou au contraire très froids. Les aliments mous sont à privilégier et la mastication doit être réalisée avec le côté sans abcès. Il est préférable d’utiliser une brosse à dents à poils souples et d’éviter de passer le fil dentaire au niveau de la dent douloureuse.
Pour la douleur, le paracétamol est à utiliser en première intention. Les anti-inflammatoires sont contre-indiqués en cas d’abcès dentaire. Enfin, l’application d’une poche de glace recouverte d’un linge propre sur le visage peut aider à soulager les douleurs.
Afin de prévenir la survenue d’un abcès dentaire, il est recommandé de bien se nettoyer les dents avec une brosse à dents adaptée et du fil dentaire.
Une alimentation équilibrée et une visite annuelle chez le dentiste contribuent également à une bonne santé dentaire.
L’alimentation est un paramètre à ne pas négliger dans la santé dentaire. Il faut en effet veiller à ne pas dépasser trois repas et deux collations par jour et éviter de grignoter. Le grignotage, en plus de favoriser la prise de poids, est également le meilleur moyen d’assurer le développement de la plaque dentaire.
Enfin, il est recommandé de consulter une fois par an un dentiste afin de vérifier l’absence de carie ou de maladie des gencives et réaliser un détartrage. Plus la prise en charge d’un trouble dentaire sera précoce, moins les complications seront à craindre.
Adama SEDGO
Source/ santésurlenet.com






