
L’hygiène bucco-dentaire fait partie des signes élémentaires de propreté. Imaginez un instant, un maître de cérémonie à la bouche puante, un présentateur télé aux dents dépravées et jaunâtres, un (e) marié(e) à la salive gluante le jour de son mariage, un chanteur à la bouche haleinée, un chef d’entreprise aux dents sillées et dorées, une personne édentée soufrant du diabète. Ces désagréments ou inconforts sont pour la plupart du temps des indices d’une mauvaise santé bucco-dentaire avec des risques pour la santé en général. Pourtant, prévenir les maladies bucco-dentaires par un entretien régulier des dents et de la bouche permet d’optimiser son état de santé générale voire sa longévité. Comment maintenir ses dents et sa bouche en bonne santé ? que faire lorsqu’on a des caries ou des parodontites ? Quelles sont les conséquences de ces affections ? Des spécialistes du ministère de la Santé à travers la direction de la prévention et du contrôle des maladies non transmissibles ainsi que de l’Organisation mondiale de la santé donnent des orientations.
La bouche de l’Homme est l’organe le plus sale du corps humain en raison de son exposition constante aux bactéries et restes alimentaires. En effet, elle renferme plus de 10 milliards de micro-organismes représentant environ 700 espèces bactériennes selon des études menées par des spécialistes du domaine. Ces bactéries, si elles ne sont pas traitées et diminuées à travers le brossage des dents, peuvent causer les caries dentaires et des parodontopathies. Le microbiote buccal humain est l’ensemble des micro-organismes présents dans la bouche des êtres humains. Selon la chirurgienne dentiste spécialiste, Dr Sandrine Ouédraogo, la santé bucco-dentaire ne se limite pas aux dents, elle est intimement liée au reste du corps. On parle de relation bidirectionnelle entre la bouche et la santé générale. Selon elle, un examen buccal peut être le premier signe d’alerte d’une carence nutritionnelle, d’un VIH et de troubles alimentaires.
Le tabac et l’alcool sont aussi les principaux facteurs de risque des cancers buccaux. Ils ne facilitent pas les anesthésies en cas d’extraction de dent. L’infection bucco-dentaire est un

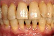
ensemble de pathologies rencontrées au niveau de la cavité buccale. Outre cela, l’alimentation et la mauvaise hygiène bucco-dentaire peuvent aussi être des facteurs des infections bucco-dentaires comme la mauvaise haleine. Une carie dentaire qui n’est pas soignée à tant peut entrainer de la fièvre chez le patient, voire des douleurs au niveau de toute la poitrine. Dr Ouédraogo explique qu’à un stade extrême, les caries peuvent entraîner la mort chez le patient, même s’il est très rare de rencontrer ces situations. C’est le même scenario au niveau des parodontites car si le mal au niveau de la gencive est négligé, il y aura une interaction avec le diabète. En effet, si le diabète est mal traité, il peut entraîner des maladies de la gencive et les maladies de la gencive aussi qui sont mal traitées peuvent entraîner des problèmes au niveau du diabète.
Comment prévenir ce mal bucco-dentaire ?
A ce niveau, la chirurgienne dentiste spécialiste, Dr Eliane Mireille Paré, précise que lorsqu’une dent malade n’est pas soignée, elle peut contaminer le cœur, les reins, les poumons et tous les organes sensibles. Donc, il est conseillé de faire très attention à sa bouche, à son alimentation et son hygiène. Pour cela, il faut adopter une bonne hygiène bucco-dentaire à travers le brossage des dents. Car une bouche saine contribue à prévenir des maladies systémiques. Comme le diabète, les pathologies cardiovasculaires, infections

respiratoires. Dr Sandrine Ouédraogo, dans ses explications, a présenté les techniques de brossage et d’entretien des dents. En effet, dans le brossage des dents, il suffit de balayer les microbes qui sont entre les dents, de la gencive vers les dents. C’est-à dire du haut vers le bas dans un mouvement rotatif, durant au maximum 3 minutes. Dans la prévention et/ou traitement du mal, elle conseille l’usage des brosses à poils souples adaptées à l’âge pour éliminer les plaques dentaires.
Aussi, l’usage des pates dentifrices contenant du fluor pour former de la fluorapatite intégrée à l’email en favorisant la reminéralisation des lésions débutantes. Dr Ouédraogo précise de ne pas se rincer la bouche à l’eau après le brossage. Elle conseille plutôt de recracher simplement, car l’excédent permet au fluor de rester en contact prolongé avec l’émail. Il faut donc se brosser au moins deux fois par jour. C’est-à dire, quelques minutes après le diner du soir avant de se coucher et quelques minutes après le petit déjeuner du

matin. Contrôler son alimentation, car prendre du chaud et du froid simultanément fragilise et détruit les dents et gencives. Il faut aussi surveiller sa santé bucco-dentaire en se faisant visiter et consulter par un chirurgien-dentiste régulièrement.
Que dit l’OMS sur les maladies bucco-dentaires ?
Quelques gestes complémentaires sont à observer. Il s’agit du nettoyage interdentaire par l’usage des bains de bouche, les brossettes et le fil dentaire. Comment faut-il s’y prendre une fois les dents cariées ou les parodontites avérées ? En cas de présence des caries dentaires ou des maladies parodontales, la chirurgienne dentiste, Dr Eliane Paré conseille aux patients de se faire toujours consulter par un chirurgien-dentiste spécialiste de formation et non par des consultants de circonstance. Elle conseille d’éviter au maximum les automédications et la négligence dans le traitement des spécialistes. Avec l’explosion des ventes de pates dentifrices et de brosses sur les réseaux sociaux surtout et à la place publique, elle recommande aux patients de se fier toujours aux pates dentifrices fluorés et médicales. Et aussi à des brosses adaptées à l’âge de l’individu.

Elle conseille fortement à la population, surtout aux personnalités et célébrités à se faire consulter régulièrement pour entretenir une bonne hygiène bucco-dentaire. Le représentant-Pays de l’Organisation mondiale de la santé au Burkina (OMS), Dr Clotaire Hien, a noté que depuis mai 2021, l’OMS considère la santé bucco-dentaire comme partie intégrante de la santé générale de l’Homme. Et en 2022, l’Assemblée mondiale de la santé a adopté une stratégie historique visant à atteindre la couverture sanitaire universelle pour la santé bucco-dentaire d’ici 2030. Selon les dernières données de l’OMS, près de 3,5 milliards de personnes souffrent de pathologies bucco-dentaires. Et ces maladies touchent de manière disproportionnée les populations les plus vulnérables et les plus pauvres à l’échelle mondiale. Au Burkina Faso par exemple, selon des études menées en 2021, plus de 52% de la population burkinabè présente au moins une dent cariée et 60% de cette même population fait les maladies parodontales. A cela, l’OMS s’engage à intégrer des soins dentaires dans les centres de santé communautaires (SCSPS) afin de soulager un plus grand nombre de patients.
Gbetcheni Constantin Bertrand KAMBIRE





